聊聊骨关节炎,拒绝“人老腿先衰”
俗话说“人老腿先衰”,随着年纪的增长,出现关节疼痛的概率也不断增加,尤其以下肢的膝关节、髋关节较为常见。除了外伤、劳损、感染、肿瘤等原因会引起关节疼痛,导致中老年人关节疼痛常见的罪魁祸首就是“骨关节炎”。
骨关节炎是什么呢?
骨关节炎又称退行性骨关节病,由于年龄增大、肥胖、劳损、创伤、关节先天性异常、关节畸形等诸多因素引起的关节软骨退化损伤、关节边缘和软骨下骨反应性增生。
本病多见于中老年人群,据统计,我国每年患有关节疾病的患者超过4000万,55-65岁老年人约有80%会发生骨性关节病,多好发于负重关节及活动量较多的关节,如膝关节、髋关节。
膝骨关节炎患者会出现以下症状:关节疼痛、僵硬,在爬楼梯、下蹲等活动过程中出现疼痛,严重时还可能出现关节畸形、活动受限、屈曲挛缩。
我们如何判断是否有膝骨关节炎呢?
膝骨关节炎在不同的分期会出现不同的症状:
初期:偶发膝关节疼痛,但可正常进行日常活动,无明显膝关节肿胀和畸形;
早期:开始经常出现膝关节疼痛,但日常活动基本不影响,少数患者平路行走偶有影响,常于起立、下蹲或者上下楼梯时疼痛,活动轻微受限,偶而出现肿胀,无明显畸形;
中期:经常出现膝关节严重疼痛,日常活动因为疼痛而受限,反复出现膝关节肿胀,此时可能出现明显膝关节轻度内翻或者外翻畸形;
晚期:膝关节疼痛非常严重,日常活动已严重受限,可能经常会出现膝关节肿胀,同时可能出现严重的内翻、外翻畸形或屈曲挛缩畸形。
我们该如何治疗膝骨关节炎?

2021年版《骨关节炎诊疗指南》提出了阶梯化的治疗理念和策略,根据不同分期采用不同的治疗方案:
1.基础治疗
Ø 健康教育:避免超过自己能力的运动或过量的活动,如长时间跑、跳、蹲,减少或避免爬楼梯、爬山等;
Ø 运动治疗:低强度有氧运动、关节周围肌肉力量训练、关节功能训练等,减肥、避免穿高跟鞋、戴护膝等;
Ø 物理治疗:水疗、冷疗、热疗、按摩、针灸等。不同方式适用人群不同;
Ø 行动辅助:手杖、拐杖、助行器、关节支具等,减少受累关节的负重。
2.药物治疗
Ø 非甾体抗炎药物:首选非甾体抗炎药膏外敷,必要时口服非甾体抗炎药等;
Ø 镇痛药物:对非甾体抗炎无效或不耐受者,可选用非NSAIDs、阿片类镇痛药、对乙酰氨基酚与阿片类的复方制剂;
Ø 关节腔注射药物:糖皮质激素、玻璃酸钠等,也就是老百姓口中经常说的打封闭和膝关节加油;
Ø 缓解症状的慢作用药物:包括双醋瑞因、氨基葡萄糖等;
Ø 抗焦虑药物:可应用于长期持续疼痛患者,尤其是对非甾体抗炎药不敏感的患者,可短期内达到缓解疼痛、改善关节功能的目的;
Ø 中成药和中药调理:包括含有人工虎骨粉等有效成分的口服中成药,外用膏药,中药内服调理。
3.修复手术治疗
包括关节镜清理术、关节软骨修复术及生物治疗、关节周围截骨术等。
4.置换手术治疗
适用于晚期关节屈伸活动严重受限、畸形、生活不能自理的患者。人工关节置换术分全膝置换术和部分膝关节置换术,目前部分膝关节置换术中较为成熟的有单髁置换术。

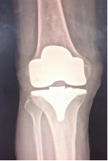
全膝置换术:是治疗膝关节骨性关节炎的金标准,可以有效消除或缓解疼痛症状,改善患者运动功能,矫正患肢力线,提高患者生活质量。但是全膝置换术切除了前后交叉韧带、半月板,手术创伤大,术中出血量大,术后恢复慢,膝关节功能不完善,并且全膝置换术属于终极手术,截骨量多,术后翻修困难。

(全膝置换术后影像)
单髁置换术:随着骨科微创技术和快速康复理念发展,越来越多骨科医生倾向于微创手术方式。单髁置换术术中截骨量更少,手术创伤更小。不需要进行输血,从而感染率更低,住院时间更短,安全性更高,符合快速康复理念。在经过康复训练之后,更容易“遗忘”这次手术,运动更加协调自如。对于75岁以上符合适应症的高龄患者单髁置换术优势更加明显。

(单髁置换术后影像)
在关节置换术后需要注意什么呢?
关节置换手术后非常重要的是进行功能锻炼,尤其是肌肉力量和活动度的训练。
有些患者在锻炼的过程中会有些疼痛,想等疼痛缓解后再开始锻炼,这种观念是不可取的,会错过康复的最佳时机。我们建议尽早就开始康复训练,很多患者怕止痛药成瘾,其实这种担心是多余的,骨科医生使用的大部分止痛药不会带有成瘾性,而且早期口服止痛药有助于功能锻炼。

希望大家在生活中保持良好的生活与运动方式,注重劳逸结合,合理作息与饮食,拥有良好的身体状态,远离病痛!
文稿|林哲




